Imaging Fibroblast Activation Protein Alpha Improves Diagnosis of Metastatic Prostate Cancer with Positron Emission Tomography

Hallie M. Hintz, Joseph P. Gallant, Donald J. Vander Griend, Ilsa M. Coleman, Peter S. Nelson and Aaron M. LeBeau

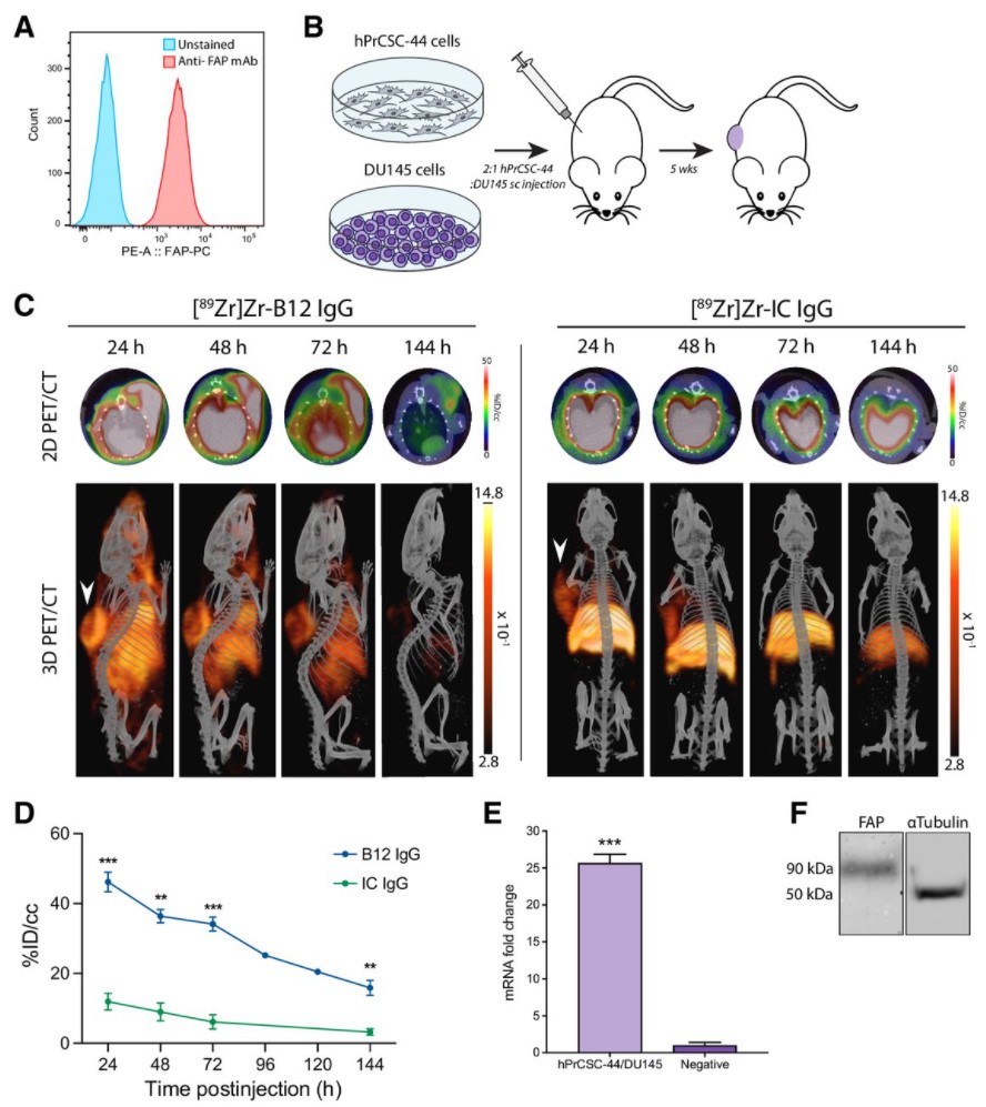
Malignant cells are surrounded by a complex and supportive tumor microenvironment that consists of immune cells, extracellular matrix, vasculature, and fibroblasts. Cancer-associated fibroblasts (CAF) are the major cell type in the reactive stroma and are known to promote tumorigenesis and metastasis. Fibroblast activation protein alpha (FAP) is a transmembrane serine protease expressed by CAFs in the microenvironment of epithelial tumors.

Meta-analysis of FAP expression and clinical outcomes in solid cancers indicate that patients with FAP overexpression are at higher risk of tumor invasion, lymph node metastasis, and decreased overall survival. Thus, FAP has been gaining momentum as the next pan-cancer target for diagnostic and therapeutic development given its absence in normal adult tissue, upregulated expression in activated fibroblasts, and localization to the tumor microenvironment. Although FAP expression has been annotated in multiple solid cancers, its presence in metastatic castration-resistant prostate cancer (mCRPC) is still largely uncharacterized. Few studies have been performed to accurately define and examine the reactive stroma in prostate cancer. CAFs in the localized prostate tumor microenvironment are known to play an essential role in tumorigenesis. Furthermore, FAP-positive CAFs induce epithelial–mesenchymal transition–driven gain of cancer stemness, invasiveness, and development of distant metastases. Recruitment of reactive stroma is essential for metastatic tumor survival and growth; however, not much has been published on the role of FAP or CAFs in prostate cancer metastasis.

How the software is used:

Three-dimensional (3D) reconstructions were generated using Amira Software.

For Research Use Only. Not for use in diagnostic procedures.

Explore similar Use Cases:

Industry: Life Sciences

Application: